Bulgarian English Russian Home Presentation Dental Treatment Glass Abutment Dental Tourism Links Contact

Dental Treatment and Prosthetics Without Implants

Fixed Dentures on Glass Abutment System ZX-27


When there are teeth missing in the mouth cavity this seriously disturbes the proper bit and chewing harmony. In cases when there are few or inappropriately located teeth to support the bridge construction of the dentures, most commonly removable partial protheses are applyed, but they are widely found as inconvenient. Implants could be used instead, but this requires surgery, and is often too stressing to the patient. The modern solution of the problem is the Attractive Glass Abutment System ZX-27 – an invention, that was given a patent back in 1991.

The essence of that new method is that patients who still have some own teeth and don't like to have partial removable prostheses, nor yet to mount implants in the mouth, they are still able to build a long-lasting and durable fixed bridge construction, in other words prostheses or dentures.

The Attractive Glass Abutment System ZX-27 are made of chemically treated glass so that it goes in contact to the mucosa of the jaw without any problems. The little glass abutments are being mount to the prosthesis itself and are simple replacement of missing own teeth, that would support the denture. This new method of treatment works effectively in cases when rear chewing teeth are missing or even if combined with implants.

You are welcome to get known in depth to the Attractive Glass Abutment System ZX-27, presented here in technological and clinical tests and analysis in these brochures (in PDFPDF) in English, German, Italian, Greek and Russian language.

Dr. Stavreva for 20 years now practices treatment for unilateral or bilateral unlimited dental rows through supporting prosthesis on Glass Abutment System ZX-27, which could be called biological implants. Instead of using movable or removable dentures, treatment is solved by bridge structures. Masticatory pressure is redistributed over all teeth, as those with impaired parodont are discharged. The process of resorption of alveolar bone decrease after splinting. Through this very simple and effective method of dentures on Attractive Glass Abutment System ZX-27 surgery to mount implants is avoided, and prosthesis is reliable and stable. This makes the cost of treatment about 3 times lower compared to dentures over implants.

Here are some of the cases of Dr. Stavreva for dentures on the Attractive Glass Abutment System ZX-27:

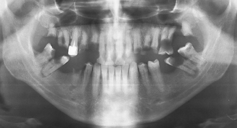
RO graph - ZX-27 sample 1 pre-treatment RO graph - ZX-27 sample 1 after-treatment

Patient: T.P., woman, 33 years old

Diagnosis: D. Adentio partialis superior

Dental status before treatment:

Own tooth
Extracted tooth
Own tooth
bearing prosthesis
Own tooth, left
out of prosthesis
Tooth restored
by prosthesis
Restored tooth – here denture
leans on the glass abutment ZX-27

 

Dental formula after extraction of teeth required has the following form:

E
E
15
E
E
12
11
21
22
23
E
E
E

 

The teeth that support the bridge in this case:  12 ,  11 ,  21 ,  22  and  23  are constructed by pinlei for greater stability and strength of the future bridge construction. Since the patient is a young lady, it has been selected prosthesis system on Attractive Glass Abutment System ZX-27. The glass support is inserted in the field of  26 . It is a denture on bridge structure with a metal arch stabilization.

Dental status after treatment looks like this:

X
X
15
X
X
12
11
21
22
23
X
X
ZX

 

Treatment was finished on June 25, 2008. The X-ray inspection is from June 22, 2010. The patient has very good spirits, she eats and chews normally.


RO graph - ZX-27 sample 2 pre-treatment RO graph - ZX-27 sample 2 after-treatment

Patient: A.M., woman 72 years

Diagnosis: D. Adentio partialis superior et inferior

Before treatment dental formula was as follows:

 

The lower jaw is of interest in this case. After extraction of  41  and  42 , teeth supporting the bridge remain only four:  44 ,  31 ,  33  and  34 . Two ZX-27 glass supports are placed for the lower jaw in two prostheses with arc stabilization, for the upper and lower jaw, respectively.

After treatment the dental formula looks like this:

 

Treatment was finished on December 22, 2008. The X-ray inspection is from June 28, 2010. The patient has very good spirits, she eats and chews normally.


RO graph - ZX-27 sample 3 after-treatment

Patient: L.D., man 48 years old

Diagnosis: D. Adentio partialis superior et inferior

The dental formula after treatment for this case is:

ZX
X
X
13
12
X
21
22
23
X
X
26

X
45
X
43
X
X
X
X
33
34
X
ZX

 

The treatment of this case uses dentures for the upper and lower jaw with arch stabilization and two glass bearings in the fields of  16  and  36 . This patient had intended to place implants in order to not have removable dentures. He is very happy now with the glass pillars ZX-27 treatment.

Treatment was finished on July 2, 2010, and the X-ray inspection is from same day. The patient has very good spirits, he eats and chews normally.


RO graph - ZX-27 sample 4 pre-treatment ZX-27 sample 4 pre-treatment ZX-27 sample 4 during-treatment

Patient: D.S., woman, 34 years old

Diagnosis: D. Adentio partialis superior et inferior

Dental formula after extraction of teeth required has the following form:

E
17
E
15
E
E
12
11
21
22
E
E
E
E
E
E

48
E
E
45
E
43
E
E
E
E
33
34
35
E
37
38

 

The prosthesis of the upper jaw is of interest in this case. The teeth that support the bridge in this case are:  11   12   15   17   21  and  22 . Since the patient is a young lady, it has been selected prosthesis system on Attractive Glass Abutment System ZX-27. There are two glass supports inserted in the fields of  24  and  26 . It is a denture on bridge structure of glass-ceramics with an arch stabilization.

Dental status after treatment, completed September 17, 2011, looks like this:

 

It is clear that in this case WE CAN PROSTHESIS WITHOUT IMPLANTS and without removable dentures.

The patient has very good spirits, she eats and chews normally.

ZX-27 sample 4 after-treatment

ZX-27 sample 5 pre-treatment ZX-27 sample 5 treatment-completed

Patient: L.K. woman, 52 years old

Here, a single ZX-27 glass abutment was used in upper jaw prosthetics.


ZX-27 sample 6 treatment-completed

Patient: M.S. woman, 44 years old

In the treatment of this patient, several ZX-27 glass abutments were used in prosthetics of both the upper and lower jaws.


ZX-27 sample 7 treatment-completed

Patient: H.H. woman, 42 years old

Due to very large carious defects, this patient required prosthetics of both upper and lower jaw. Here we present the result after her treatment.


Here is how dental technitians work up with Attractive Glass Abutment System ZX-27 in details and pictures:

Fixed prostheses on Attractive Glass Abutment System ZX-27 by Laszlo Nemeth and DentAvantgArt
ZX-27 Attractive Glass Abutment System

Glass abutment ZX-27 is produced in two sizes depending on the size of the tooth that will be replaced.

ZX-27 Attractive Glass Abutment System

Big or small, according to dental status, the glass abutment ZX-27 is placed in a clamping apparatus.

ZX-27 Attractive Glass Abutment System

The glass pillar ZX-27 is heated to red in order to shape the form of its surface.

ZX-27 Attractive Glass Abutment System

Molten glass support ZX-27 is pressed continuously on the space provided for it in the casting.

ZX-27 Attractive Glass Abutment System

Once the glass abutment ZX-27 indurates and gets cool its surface is polished with diamond tools.

ZX-27 Attractive Glass Abutment System

Once shaped as a saddle, the surface of the glass abutment ZX-27 is wedded to its place in the dental moulding.

ZX-27 Attractive Glass Abutment System

An imprint of the glass abutment ZX-27 is taken by dipping in wax.

ZX-27 Attractive Glass Abutment System

The glass abutment ZX-27 is attached to the casting model using hot occipital wax.

ZX-27 Attractive Glass Abutment System

The prosthesis (denture) and the glass abutment ZX-27 in the cast before sticking.

ZX-27 Attractive Glass Abutment System

Finished glass abutment ZX-27 is tested in the casting before mounting in the patient's mouth.

Bulgaria, Plovdiv, Trakia, bl. 181, en. A, apt. 19 map ξ phone: +359 877 035 206ξ e-mail: doctor@stavreva.com
Emergency Dental Aid in Plovdiv, Bulgaria, please call +359 877 035 206.Visiting hours — from 4:00 pm to 9:00 pm and upon request.